uCT Atlas Pro

智慧感知 智胜未来

深度融合业界领先的人工智能技术,聚焦日益增加的心脏CT检查需求, uCT Atlas Pro 通过智能化的操作流 程与创新的心脏图像重建技术,不仅实现了自由心脏成像技术,更显著提升了心脏诊断的精准度;采用革命 性的双精度图像感知技术,涵盖形态学与功能学检查,有效去除伪影获得低剂量高清图像;全新智能后处理 平台,带来秒级工作效率与超真实渲染技术,尽享卓越影像体验。智慧感知平台,共享健康新未来!

沉浸式心脏诊疗智慧流程

极智创新 自由心脏

CT高清成像多维创新方案

智慧感知 精准临床

服务器架构智慧数智引擎

智能处理 无需等待

沉浸式心脏诊疗智慧流程 - 极智创新 自由心脏


冠状动脉CT血管造影(CCTA)已经成为冠心病无创影像检查的首选方法,为冠心病的预防、诊断、治疗和康复提供了重要工具。uCT Atlas Pro不仅具备领先的One-beat心脏成像技术,同时融合众多人工智能(AI)技术,实现从摆位、扫描、冠脉时相选择、运动伪影校正、图像重建等全流程的智能操作,提供沉浸式心脏诊疗智慧流程 ,实现自由心脏成像!

深度学习心脏图像重建 - CardioBoost

针对心脏重建算法精心研发,利用深度学习技术显著增强图像分辨率、消除伪影干扰,同时有效降低辐射剂量与噪声,维持图像纹理的自然与真实。

降低图像噪声

降97%*图像噪声,图像观感自然

降低辐射剂量

相同图像质量下,剂量最高可降70%*

提升组织分辨率

低对比度分辨率提升99%*,利于斑块、心肌、瓣膜显示

提升空间分辨率

空间分辨率提升72%*,利于钙化斑块、支架显示

伪影抑制能力

抑制高密度物质条状、晕状伪影,管腔狭窄程度评估更准确

适用动态心肌灌注

解决动态心肌灌注辐射剂量偏高难题

*数据在模体测试条件下、与传统FBP图像重建算法对比获得

沉浸式心脏诊疗智慧流程

凭借全流程人工智能技术,实现患者快速自动摆位、自适应曝光、自动时相选择、冠脉运动伪影消除、以及一键式三维图像处理等智慧化操作,优化心脏检查的图像质量,并提升医生的诊疗效率。

uAI Vision
通过一键点击操作,实现对心脏成像患者位置的精确摆放。

CardioAssist
自动评估患者的心率,并提供自动的门控设置。
CardioAdapt
适应不规则心率的检查,避免不必要的重复扫描。

ePhase
人工智能技术自动选择运动幅度最小相位,极大提升时相选择的效率与图像质量。

CardioCapture
人工智能驱动的运动伪影校正技术,有效地消除冠状动脉的运动伪影。

CardioBoost
基于深度学习技术的数据驱动图像重建算法。

CardioBoost采用真实心脏图像训练3D神经网络模型,以常规剂量下的高质量图像为学习目标,使低剂量图像在优化图像质量同时,能有效降低图像噪声、提高低对比度分辨率以及空间分辨率,还可抑制条状伪影。

uOmnispace.CT*
智能算法加持,一键工作流,快速、清晰、完整显示冠脉和腔室结构,助力高效分析。

*为独立注册的uOmnispace.CT后处理应用
**为联影智能AI软件

AI自动摆位

uAI Vision
通过一键点击操作,实现对心脏成像患者位置的精确摆放。

智能自适应扫描

CardioAssist
自动评估患者的心率,并提供自动的门控设置。
CardioAdapt
适应不规则心率的检查,避免不必要的重复扫描。

AI冠脉最佳时相

ePhase
人工智能技术自动选择运动幅度最小相位,极大提升时相选择的效率与图像质量。

AI冠脉运动伪影校正

CardioCapture
人工智能驱动的运动伪影校正技术,有效地消除冠状动脉的运动伪影。

AI心脏重建

CardioBoost
基于深度学习技术的数据驱动图像重建算法。

CardioBoost采用真实心脏图像训练3D神经网络模型,以常规剂量下的高质量图像为学习目标,使低剂量图像在优化图像质量同时,能有效降低图像噪声、提高低对比度分辨率以及空间分辨率,还可抑制条状伪影。

数智分析引擎

uOmnispace.CT*
智能算法加持,一键工作流,快速、清晰、完整显示冠脉和腔室结构,助力高效分析。

*为独立注册的uOmnispace.CT后处理应用
**为联影智能AI软件

CT高清成像多维创新方案 - 智慧感知 精准临床


精准洞察患者对安全的需求、及影像科面对的繁重工作,uCT Atlas Pro将尖端的深度学习技术融入图像重建环节,实现图像质量的全面提升,也可大幅降低CT检查的辐射剂量。创新的智慧感知技术,为影像学领域的发展注入了新鲜活力与强劲动力!

CT重建算法的不断迭代升级,已从滤波反投影(FBP)技术推进至迭代算法(IR)及深度学习重建(DLR)。这些算法技术各自展现了独特的优势,不过,也存在一定的局限性。

全模型迭代重建(MBIR)技术显著降低图像噪声、提升空间分辨率和低对比度(LCD)检测能力,同时有效抑制条纹状和宽体探测器的锥形束伪影。然而,通过正则化项进行图像噪声抑制,会引起图像噪声分布不自然,导致图像纹理呈现“蜡像感”。且由于高强度的计算,对计算机算力要求高、图像重建时间长。

DLR算法能快速重建出低噪声、图像纹理自然的图像,从而实现进一步降低辐射剂量的可能性。 然而,深度学习网络高度复杂,并且使用的模型并不完全可解释,非线性算法可能会在低剂量检查中引入不正确的解剖或病理特征[1]

[1] Deep Learning Image Reconstruction for CT: Technical Principles and Clinical Prospects. Radiology. 2023 Mar;306(3):e221257.

AIIR技术融合了MBIR和DLR两者的优势:保持了用于光学、噪声、解剖和系统模型的优势,以准确保留解剖和病理特征;又融入了深度学习的去噪技术、图像纹理自然的优势,取代了MBIR中传统正则化项的作用,优化了重建过程和图像纹理效果。

CT图像重建技术的发展

CT重建算法的不断迭代升级,已从滤波反投影(FBP)技术推进至迭代算法(IR)及深度学习重建(DLR)。这些算法技术各自展现了独特的优势,不过,也存在一定的局限性。

MBIR的优势与不足

全模型迭代重建(MBIR)技术显著降低图像噪声、提升空间分辨率和低对比度(LCD)检测能力,同时有效抑制条纹状和宽体探测器的锥形束伪影。然而,通过正则化项进行图像噪声抑制,会引起图像噪声分布不自然,导致图像纹理呈现“蜡像感”。且由于高强度的计算,对计算机算力要求高、图像重建时间长。

DLR的优势与不足

DLR算法能快速重建出低噪声、图像纹理自然的图像,从而实现进一步降低辐射剂量的可能性。 然而,深度学习网络高度复杂,并且使用的模型并不完全可解释,非线性算法可能会在低剂量检查中引入不正确的解剖或病理特征[1]

[1] Deep Learning Image Reconstruction for CT: Technical Principles and Clinical Prospects. Radiology. 2023 Mar;306(3):e221257.

AI双精度图像重建 超越深度学习

AIIR技术融合了MBIR和DLR两者的优势:保持了用于光学、噪声、解剖和系统模型的优势,以准确保留解剖和病理特征;又融入了深度学习的去噪技术、图像纹理自然的优势,取代了MBIR中传统正则化项的作用,优化了重建过程和图像纹理效果。

AI运动感知重建 消除头部运动伪影

Motion Freeze技术:基于深度学习技术校正头部运动伪影,保持头部结构清晰显示。

选用临床无运动伪影的图像作为金标准图像,模拟出不同场景下的运动形式,获得含有运动伪影的图像,从而解决了金标准数据与伪影数据的获取、匹配难题。Motion Freeze构建了独特的3D卷积神经网络,在去除运动伪影的同时,保障图像的空间与密度分辨率不受影响。

Motion Freeze临床应用范围广,可应用于头部平扫、增强、血管造影(CTA)和灌注(CTP)等临床场景;改善因疾病、紧张等因素导致的头部运动伪影,减少不必要的重复扫描、从而降低检查的辐射剂量。

Motion Freeze 技术优势

选用临床无运动伪影的图像作为金标准图像,模拟出不同场景下的运动形式,获得含有运动伪影的图像,从而解决了金标准数据与伪影数据的获取、匹配难题。Motion Freeze构建了独特的3D卷积神经网络,在去除运动伪影的同时,保障图像的空间与密度分辨率不受影响。

Motion Freeze 临床价值

Motion Freeze临床应用范围广,可应用于头部平扫、增强、血管造影(CTA)和灌注(CTP)等临床场景;改善因疾病、紧张等因素导致的头部运动伪影,减少不必要的重复扫描、从而降低检查的辐射剂量。

AI完全视野感知 82cm 全视野成像

Ultra EFOV*:突破50cm扫描视野限制,获得全视野精准解剖结构成像。

获得82 cm孔径内全视野解剖结构的精准成像。

82 cm超大视野

突破传统拓展视野的插值算法局限性,图像精度更高。

AI 深度学习算法

在50-82 cm的拓展视野内,CT值偏离在±20HU内。

CT值测量准确

灵活的成像视野设置,适用于不同临床场景,特别是面对肥胖患者、急诊扫描以及部分特殊体位患者时,展现出极高的应用价值。

临床应用灵活

* 供科研使用

服务器架构智慧数智引擎 - 智能处理 无需等待


uOmnispace.CT智能后处理工作站* ,依托高性能客户端-服务器架构,提供“智能化、跨学科、多场景、安全可靠”的高级影像后处理解决方案,极大地提升了影像处理效率和质量,为三维影像后处理带来了革命性的新体验。

* uOmnispace.CT后处理工作站为独立注册产品

先进的客户端-服务器架构设计,凭借其卓越的计算能力和高效的智能预取与预处理能力,显著提升了工作流程的效率。

新一代智慧数智引擎,针对心血管、肿瘤、神经系统等全身各系统的复杂疾病进行一键式快捷、精细分析,提高CT诊断的精确度与工作效率。

超真实渲染(Hyper-Realistic Rendering,HRR)技术,作为CT医学图像3D视觉化的创新手段,升维传统三维影像体验:手术前规划、治疗效果评价、跨学科团队讨论、医患信息交流及医学教学实践等,都可发挥至关重要作用。

服务器架构

先进的客户端-服务器架构设计,凭借其卓越的计算能力和高效的智能预取与预处理能力,显著提升了工作流程的效率。

智能化临床应用

新一代智慧数智引擎,针对心血管、肿瘤、神经系统等全身各系统的复杂疾病进行一键式快捷、精细分析,提高CT诊断的精确度与工作效率。

超真实渲染技术

超真实渲染(Hyper-Realistic Rendering,HRR)技术,作为CT医学图像3D视觉化的创新手段,升维传统三维影像体验:手术前规划、治疗效果评价、跨学科团队讨论、医患信息交流及医学教学实践等,都可发挥至关重要作用。

临床应用

  • AI心脏重建 CardioBoost
  • AI最佳冠脉时相 ePhase
  • AI冠脉运动伪影校正 CardioCapture
  • AI双精度图像重建 AIIR Technology
  • AI运动感知重建 Motion Freeze
  • AI全视野重建 Ultra EFOV

深度学习心脏重建 CardioBoost

右冠脉多发非钙化斑块病例: CardioBoost图像较混合迭代(HIR)图像噪声低,冠状动脉与非钙化斑块的边缘显示更清晰;
超真实渲染HRR图像上冠状动脉的各级分支血管显示更丰富,体现了CardioBoost对细微结构显示能力的提升。

深度学习心脏重建 CardioBoost

右冠状动脉慢性完全闭塞(CTO)病例:CardioBoost图像噪声低,右冠脉(RCA)近端和中段严重狭窄,部分节段几乎闭塞,斑块的开始和结束范围显示更清晰。HRR图像上,冠脉分支血管显示较混合迭代图像更丰富。

深度学习心脏重建 CardioBoost

冠脉支架病例:CardioBoost 图像较HIR图像噪声更低、血管边缘更锐利;由于空间分辨率的提升,左、右冠脉内支架的细节结构显示更清晰,更利于鉴别支架内有无再狭窄形成。

深度学习心脏重建 CardioBoost

80kV 低剂量检查:CardioBoost可以降低图像噪声、提升图像组织对比度,CPR血管边界更清晰,冠脉斑块与管腔之间对比更明显,提升诊断信心。

AI冠脉最佳时相 ePhase

依据患者的心率表现,系统常规默认的时相为45%,而45%时相的冠脉图像因为存在运动伪影,图像质量并不理想;而使用AI冠脉最佳时相功能后,冠脉重建时相设置为77%,消除了45%时相上右冠脉(RCA)与前降支(LAD)的搏动伪影,图像质量明显改善、满足诊断需求。

AI冠脉最佳时相 ePhase

依据患者的心率表现,系统常规默认的时相为75%,右冠脉中段在该时相上存在运动伪影,图像质量并不理想;而使用AI冠脉最佳时相功能后,冠脉重建时相设置为80%,消除了75%时相上右冠脉中段伪影,图像质量明显改善。

AI冠脉运动伪影校正 CardioCapture

未使用CardioCapture时,RCA中段存在明显的运动伪影,影响临床诊断;使用CardioCapture后,RCA中段血管的运动伪影得到了校正与消除,血管边缘更加清晰、图像质量显著提升。

AI冠脉运动伪影校正 CardioCapture

未使用CardioCapture时,LAD中段存在明显的运动伪影,影响临床诊断;使用CardioCapture后,LAD中段血管的运动伪影得到了校正与消除,提高了血管边缘平滑度和清晰度,提升了图像质量提升。

AI双模图像重建 AIIR Technology

与HIR重建对比,AIIR图像显著降低了头部的图像噪声,提高组织对比度,颅内灰质和白质的对比更加突出,大面积脑梗死低密度区显示非常清晰;此外,AIIR技术能够消除宽体扫描导致的条状锥束伪影,清晰呈现颅底小脑和延髓结构,从而提高诊断的信心。

AI双模图像重建 AIIR Technology

AIIR Technology的技术优势是降低图像噪声、提升低对比度检测能力,因而较HIR图像进一步提升组织间的对比,精准显示直肠壁与宫颈之间的脂肪间隙;如直肠癌对周围组织有侵犯,可以精准显示,从而帮助医生进行肿瘤分期,提升诊断效率。

AI双模图像重建 AIIR Technology

80 kV扫描扫描模式,有效剂量仅为0.21 mSv;在HIR图像上磨玻璃结节的空泡征显示不清晰;而AIIR图像实现了低剂量下的低噪声成像,高保真还原磨玻璃结节的空泡征,提升诊断信心。

AI双模图像重建 AIIR Technology

大体型患者,体重100kg,BMI 31 kg/m2 采用80kV低管电压扫描;AIIR图像较HIR图像显著消除肩部条状伪影,既降低了辐射剂量,又获得了高清图像质量。

AI双模图像重建 AIIR Technology

AIIT Technology不仅可以应用在形态学检查,也可以应用到头、体部灌注功能学检查;AIIR技术的使用,可以在更低剂量的辐射剂量基础上实现体部灌注检查;该病例AIIR图像噪声更低、对比度更高,右侧肾脏富血供占位病灶显示更加清晰。

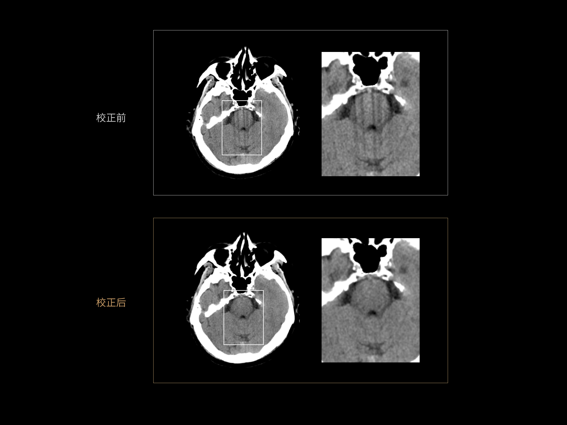
AI 运动感知重建 Motion Freeze

头部运动深度学习重建:消除头部运动引起的条状伪影,还原脑部结构,利于准确诊断;去除运动伪影功能,可以减少重复扫描次数,提升工作效率。

AI完全视野感知 Ultra EFOV*

82 cm 深度学习全视野成像,完整显示机架孔径内解剖结构,消除了常规拓展重建引起的结构畸变以及截断伪影,提供更加灵活、便捷的工作场景。

* 供科研使用


AI完全视野感知 Ultra EFOV*

82 cm 深度学习全视野成像,完整显示机架孔径内解剖结构,消除了常规拓展重建引起的结构畸变以及截断伪影,提供更加灵活、便捷的工作场景。

* 供科研使用